叶酸靶向性硅包覆碲化镉量子点CdTe@SiO2-NH-CO-PEG-folate
产品名称:叶酸靶向性硅包覆碲化镉量子点CdTe@SiO2-NH-CO-PEG-folate
产品描述:
名称:叶酸靶向性硅包覆碲化镉量子点
别称:CdTe@SiO2-NH-CO-PEG-folate
纯度:98%
包装:瓶装
性状:液体/粉末
贮藏:易于吸潮,需密封存放 ,4℃冰箱冷藏避光保存
服务:量子点定制服务
地址:西安
厂家:西安齐岳生物科技有限公司
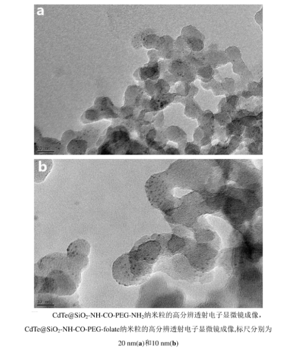
描述;以巯基乙酸为稳定剂,通过水相合成法直接制备得到粒径可控的亲水性CdTeQDs.通过油包水(W/O)反向微乳液法对合成的CdTeQDs(3.25nm)进行二氧化硅包覆制备核壳型CdTe@SiO2纳米粒,并在其表面引入胺基基团,制备CdTe@SiO2-NH2纳米粒.叶酸结构中含有游离羧基,在有机溶剂中与二环己基碳酰亚胺(DCC)和N-羟基琥珀酰亚胺(NHS)反应,形成叶酸活化酯,再在碱性环境下与氨基-聚乙二醇-羧基(NH2-PEG-COOH)的氨基发生偶联,生成Folate-PEG-COOH配体.然后将CdTe@SiO2-NH2纳米粒分别与NH2-PEG-COOH和Folate-PEG-COOH分子偶联,制备非靶向荧光探针CdTe@SiO2-NH-CO-PEG-NH2和叶酸靶向荧光探针CdTe@SiO2-NH-CO-PEG-folate。

量子点目录:
Silane修饰硫化铅/硫化镉量子点
LA功能化硫化铅/硫化镉量子点
DBCO包裹硫化铅/硫化镉量子点
TZ修饰硫化铅/硫化镉量子点
FA功能化硫化铅/硫化镉量子点
Dopamine包裹硫化铅/硫化镉量子点
Ferrocene偶联硫化铅/硫化镉量子点
Cyclodextrin修饰硫化铅/硫化镉量子点
streptavidin功能化硫化铅/硫化镉量子点
厂家:西安齐岳生物科技有限公司
以上资料来自小编axc,2022.10.18
以上文中提到的产品仅用于科研,不能用于人体。
联系我们:
邮箱:2519696869@qq.com
QQ: 2519696869
电话:18066853083
微信:18066853083
公司介绍:
西安齐岳生物科技有限公司是集化学科研和定制与一体的高科技化学公司。业务范围包括化学试剂和产品的研发、生产、销售等。涉及产品为通用试剂的分销、非通用试剂的定制与研发,涵盖生物科技、化学品、中间体和化工材料等领域。
主营产品:COF、MOF单体系列:三蝶烯衍生物、金刚烷衍生物、四苯甲烷衍生物、peg、上转换、石墨烯、光电材料、点击化学、凝集素、载玻片、蛋白质交联剂、脂质体、蛋白、多肽、氨基酸、糖化学等。


